アルツハイマー型認知症

もの忘れ、時間の感覚がわからなくなるなどの症状で始まり判断力、理解力が低下し、生活全般に支障をきたします。健忘を主症状として始まる進行性の病気です。脳内に異常タンパク質が蓄積し神経が変性・脱落することが主な原因です。
1906年ドイツの精神科医アロイス・アルツハイマーが進行性の記憶障害や妄想などを起こした症例を報告。翌年に、老人斑や神経原線維変化、神経細胞の消失といった神経学的所見を報告しました。

脳の神経細胞の変化

  • アミロイドβが蓄積し、老人斑が脳に出現します。
  • リン酸化タウの蓄積が蓄積し、神経原線維変化が脳に出現します。
  • 脳の神経細胞が壊れ、脳が萎縮が進行していきます。特に大脳の側頭葉・後頭葉・頭頂葉の変化が顕著です。

アミロイドβの脳への蓄積が始まるのは50歳前後

神経原繊維変化とそれに伴う神経細胞死が始まるのが 60~65歳頃
神経細胞死がある「しきい値」を超えて進行し、脳予備能が限界に 達すると症状が出現します。

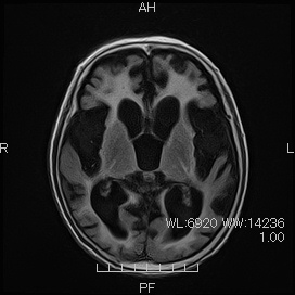
アルツハイマー型認知症の脳の様子

MRI画像
側脳室下角の開大と海馬の萎縮

MRI画像

主なアルツハイマー型認知症治療薬

各治療薬の特徴

分類 名称 適応 剤形 使用回数
アルツハイマー型
認知症
レビー小体型
認知症
軽度 中等度 高度
コリンエステラーゼ阻害薬 アリセプト
(ドネペジル塩酸塩)
内服 1日1回
レミニール
(ガランタミン)
内服 1日2回
リバスタッチパッチ/
イクセロンパッチ
(リバスチグミン)
貼付剤 1日1回
NMDA受容体
拮抗薬
メマリー
(メマンチン)
内服 1日1回

アリセプトの作用機序

アリセプトの作用機序

メマリーの作用機序

メマリーの作用機序